* Home > Sports Manual Therapy > X-ray - Normal Variants and Congenital Abnormality > X-ray - Normal Variants and Congenital abnormality 상세정보

X-ray - Normal Variants and Congenital abnormality 완결 

0
1254
강사님 Joonhan Kang
연락처
클래스 구성 Lesson 5
총 시간 약 분
가격ㆍ기간
12개월 할부시 월 원
찜하기
로그인후 장바구니
로그인후 즉시구매

Class Introduction

 

Who is this class for?

 

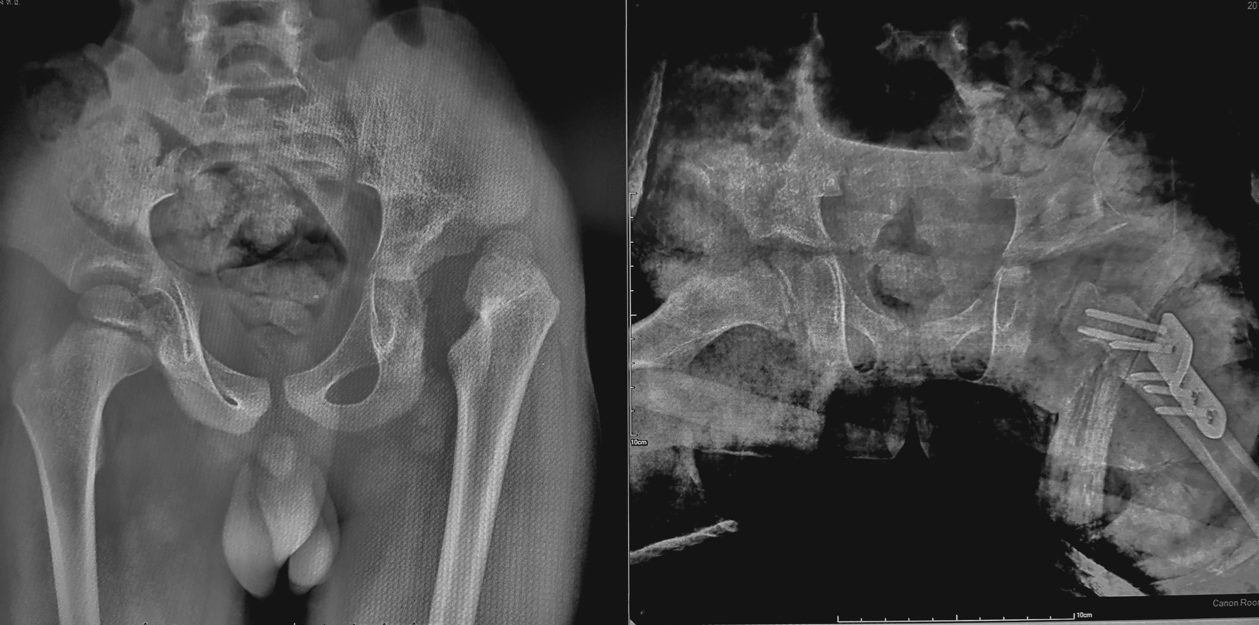
Normal Variants refer to skeletal conditions that are altered within the normal range, and Congenital Abnormality refers to congenital skeletal variations. Although there are variations that do not cause clinical problems, some types (especially congenital abnormalities) can be important factors in causing musculoskeletal pain, and some of them can be contraindications for manual therapy.

 
 

✅ I recommend it to these people

The most important thing to be careful about in manual therapy is contraindications. Therefore, this course is an essential subject that all manual therapy specialists must study without exception, as it can prevent side effects from manual therapy by identifying skeletal deformation through x-ray images, and it is a field that is strongly recommended as a prerequisite for manual therapy technique subjects.

 

✅ After you take a lecture, you will learn by:

The skeletal deformation of the musculoskeletal system can be accurately diagnosed through x-ray. Therefore, side effects that may occur during manual therapy can be prevented in advance, and the indications, contraindications, and target of manual therapy can be clearly recognized.

 
 

INSTRUCTOR

 

Joonhan Kang

  • Doctor of Chiropractic at C.C.C.LA
  • Licensed Chiropractor at State of Michigan
  • Current Member of American Chiropractic Association (ACA)
  • Current Member of European Teaching Group of Orthopedic Medicine (ETGOM)
  • Current Member of the Korean Chiropractic Association (KCA)
  • Current Member of the Korean Orthopedic Association (KACOM)
  • Current Academic director of Ciriacs Orthopedic Research Society
  • Former Professor, Department of Health Management, Hanseo University
  • Current CEO of Doctor Smart
  • Kinesio Taping / Kenzo, Japan 2000
  • ETGOM Cyriax certified / STEVEN, Belgium and England 2002
  • McKenzie certified 2003
  • Mulligan certified / Brian Mulligan, New Zealand 2004
  • Rolfing technique / Australia 2005
  • Scoliosis certified / Hans Weis, Germany 2005
  • “The Illustrated Guide to Taping Therapy for Musculoskeletal Pain”, 2010 Medianbook
  • “Manipulation Technique” , 2015 Elsevier
  • “Clinical Application of Leander Table and Balance Gun Techniques” 2018 Hansol
  • “Effects of Manipulative Therapy on the Expressions of NADPH-Diaphorase and Nitric Oxide Synthase in the Spinal Motor Neurons after Right Knee Joint Immobilization in the Guinea Pig”, 2011
  • Former Director & Chiropractor / Kingsley Chiropractic Clinic, LA
  • Former Director of Lee Gyu-jin Anesthetic Clinic
  • Former Director of Seoul Rehabilitation Clinic

Curriculum

lecture material